Over 3200 Smile Makeovers to date
We take a consultation led approach to design fully personalised smile makeovers tailored to individual needs, goals and budgets, delivering outstanding results time and time again. Whether you’re exploring composite bonding, veneers, or a full smile redesign, our free consultation helps you find the right option.
Whether you want to improve or restore your smile, we’re here to provide the right smile treatment. Take the first step towards feeling confident about your smile with a trial smile.
The trial smile is temporarily placed onto the prepared teeth, giving you a final opportunity to test your new smile. By using the digital images taken beforehand, we can craft a natural-looking smile for you to try even before committing.
This is one of the ways we ensure our patients feel 100% comfortable before making any commitments to their new smile.


Thanks to the latest digital technology and our expert team of dentists, designing your new smile is a simple and stress-free process.
At Perfect Smile Studio, we pride ourselves on delivering high levels of patient care. Our fundamental ethos is that strong healthy smiles start with a healthy mouth, and we strive to help our patients achieve this.
We pride ourselves on the expertise of our team. This means we are confident enough to guarantee that you will leave our practice feeling happier and more confident about your smile.
With over 3,200 Smile Makeovers behind us, we can help you overcome any insecurities relating to your teeth, and give you the smile that you want.
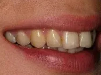
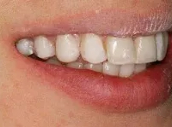
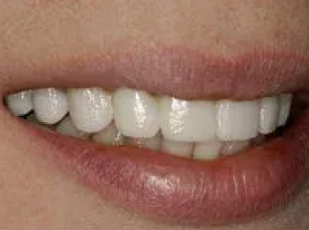
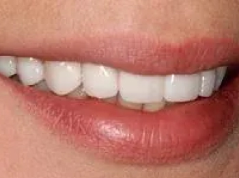
See what our patients look like before and after cosmetic dentistry, so you can gain a better idea of how they’re going to look and work for you.



Since 1994, we’ve carried out countless cosmetic treatments. Our smile makeover treatments include Hollywood Smiles, Perfect Smiles and Natural Smiles.
These are not simply aesthetic procedures but are designed to improve the health of the mouth too.
Smile Makeover Treatments offer a natural-looking smile and help boost our patients’ confidence.
Throughout the process, we’ll keep you well-informed and provide detailed information on every treatment to achieve the smile you want.

At Perfect Smile Studio, we offer comprehensive dental care for all stages of life, delivered with advanced technology and personalised, compassionate service.

The first step in the Smile Makeover process is taking a series of complimentary digital photographs. Our photographic smile analysis provides valuable insight into your teeth and mouth, helping us determine the next steps of your treatment. We then compare your smile with our extensive portfolio of before-and-after cases. This is also your opportunity to ask questions and gain further information about your current smile.

After our photographic smile analysis, we’ll begin to generate computerised smile images. During this process, you’ll be able to see various potential looks and better inform us what you are looking for. The computerised smile images give you a visual representation of how your smile can be improved.

Our mock-up smile designs are handcrafted artificial teeth that give you an idea of your post-treatment smile. This innovative technology allows you to properly visualise your teeth before committing to further treatment. The mock-up smile design acts as a foundational template for further cosmetic treatments.

The digital smile design gives us greater control of making changes and offering options for the smile you want. We use a non-invasive intra-oral scanner that processes the inside of your mouth in high-definition. This gives you a preview of what a Natural or Hollywood smile could look like for you and what treatment you may prefer.

The trial smile is placed onto the prepared teeth temporarily, giving you a final opportunity to test your new smile. By using the digital images taken beforehand, we can craft a natural-looking smile for you to try even before committing. This is one of the ways we ensure our patients to feel 100% comfortable before making any commitments to their new smile.

After deciding on the smile makeover you want, we can begin creating it with various cosmetic treatments. Your dentist will take the steps necessary in light of the treatments agreed beforehand. This may include: Crowns, Bridges, and Dental Veneers. The length of treatment will depend on the smile makeover you’ve opted for as well as the cosmetic treatments necessary to complete the makeover.

Our digital smile design software helps us plan the treatments you need to get your smile in the shortest time possible. Using top brands like Lumineers veneers and Invisalign braces, we can create the smile you’ve always wanted, virtually pain free. This inevitably leads to the creation of a smile that is very natural looking in shape, form and function.

Enhance your smile with our advanced treatments. Find out more. Restore your natural teeth or choose life-like porcelain veneers. Veneers create the illusion of a beautiful, healthy smile by correcting misalignment, closing gaps and masking discolouration.

The famous Hollywood Smile is guaranteed to get you noticed. We transform your teeth into a dazzling, uniform, bright white smile using minimal intervention for maximum results. No need for costly repeat visits or lengthy procedures. Get pain-free smile perfection in as little as two visits with instant veneers.

Thanks to the latest digital technology and our expert team of dentists, designing your new smile is a simple and stress-free process.
At Perfect Smile Studio, we pride ourselves on delivering high levels of patient care. Our fundamental ethos is that strong healthy smiles start with a healthy mouth, and we strive to help our patients achieve this.
We pride ourselves on the expertise of our team. This means we are confident enough to guarantee that you will leave our practice feeling happier and more confident about your smile.
With over 3,200 Smile Makeovers behind us, we can help you overcome any insecurities relating to your teeth, and give you the smile that you want.
Dr. Rahul Doshi is a highly respected Cosmetic Dentist with over 25 years of experience in transforming smiles. He was one of the first dentists to introduce cosmetic dentistry to the UK and has trained professionals worldwide in advanced aesthetic techniques.
Renowned for his expertise in smile makeovers and veneers, Dr. Doshi has been featured in the BBC, ITV, The Times, and Tatler. He was voted among the Top 50 Most Influential Dentists in the UK and has been recognised for his Outstanding Contribution to Cosmetic Dentistry.

From £300 per tooth, composite bonding offers an affordable, pain-free way to instantly enhance your smile. In as little as 60 minutes, our cosmetic dentists can close gaps, repair chips, and reshape teeth using natural-looking resin for flawless results without drilling or damage.
Guidance for patients considering a smile makeover consultation at Perfect Smiles Hertford.